Innovazione e trattamenti personalizzati per tutta la famiglia:
non rinunciare al tuo sorriso, fallo risplendere e donagli rinnovate armonie

Cura del dente


Otturazione

Otturazione dentale: cura della carie e ricostruzione del dente

L’otturazione dentale è il trattamento conservativo utilizzato per curare la carie e ripristinare la struttura del dente danneggiato. Quando la carie intacca lo smalto e la dentina, è fondamentale intervenire tempestivamente con una otturazione del dente per evitare che l’infezione si approfondisca fino a rendere necessaria una devitalizzazione.

Durante l’otturazione per carie, il dentista rimuove il tessuto dentale compromesso e ricostruisce la parte mancante del dente con materiali estetici in composito, che riproducono colore e forma naturali. L’otturazione estetica permette quindi di ripristinare funzionalità e armonia del sorriso, garantendo un risultato resistente e praticamente invisibile.

Curare una carie con una otturazione dentale significa prevenire dolore, infezioni e complicanze future. Un intervento tempestivo consente di conservare il dente naturale e mantenere una corretta masticazione nel tempo.

Presso Bclinic eseguiamo otturazioni dentali con materiali di ultima generazione, garantendo precisione, sicurezza e attenzione all’estetica. Ogni trattamento viene preceduto da una valutazione accurata per individuare la soluzione più adatta al singolo caso.

Puoi effettuare una otturazione dentale a Bergamo e nei paesi limitrofi come Seriate e Stezzano, in provincia di Lecco a Calolziocorte, nella zona del Lago di Garda a Manerba del Garda, in Franciacorta a Erbusco, in Val Trompia a Sarezzo, a Montichiari in provincia di Brescia e a Bussolengo in provincia di Verona.

Se avverti sensibilità, dolore o sospetti la presenza di una carie dentale, prenota una visita nella sede Bclinic più vicina per intervenire con una otturazione del dente rapida, efficace e conservativa.

Durata seduta
30-60 minuti

Lo sapevi che?


Devitalizzazione

Devitalizzazione dente: cura del dolore e salvataggio del dente naturale

La devitalizzazione del dente, chiamata anche terapia canalare, è un trattamento odontoiatrico che permette di salvare un dente gravemente danneggiato da carie profonde, infezioni o traumi. Quando la polpa dentale si infiamma o si infetta, può comparire un forte mal di denti, sensibilità intensa al caldo e al freddo o dolore alla masticazione. In questi casi la devitalizzazione rappresenta la soluzione più efficace per eliminare il dolore e preservare il dente naturale.

Durante la devitalizzazione dentale il medico rimuove la polpa infetta all’interno del dente, deterge e disinfetta i canali radicolari e successivamente li sigilla con materiali specifici per evitare nuove infezioni. Grazie alle moderne tecniche di endodonzia, la devitalizzazione è oggi un trattamento sicuro, preciso e generalmente ben tollerato dal paziente.

La terapia canalare è fondamentale per evitare l’estrazione del dente e prevenire complicanze più gravi come ascessi, granulomi o infezioni diffuse. Dopo la devitalizzazione, il dente può essere ricostruito e, se necessario, protetto con una corona per ripristinarne resistenza e funzionalità.

Presso Bclinic eseguiamo devitalizzazioni dentali con protocolli avanzati e strumentazione moderna, garantendo un approccio mirato alla riduzione del dolore e alla conservazione del dente.

Puoi effettuare la devitalizzazione del dente a Bergamo e nei paesi limitrofi come Seriate e Stezzano, in provincia di Lecco a Calolziocorte, nella zona del Lago di Garda a Manerba del Garda, in Franciacorta a Erbusco, in Val Trompia a Sarezzo, a Montichiari in provincia di Brescia e a Bussolengo in provincia di Verona.

Se hai un forte mal di denti, sospetti un’infezione o ti è stata consigliata una devitalizzazione, puoi prenotare una visita nella sede Bclinic più vicina per ricevere una diagnosi accurata e un piano di trattamento personalizzato.

Durata seduta
45-90 minuti

Lo sapevi che?


Igiene Orale

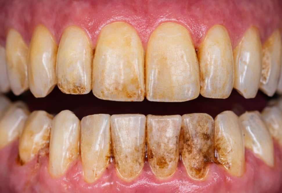
Ablazione del tartaro e pulizia dei denti professionale

L’ablazione del tartaro, comunemente definita pulizia dei denti, è un trattamento fondamentale per la salute orale e per la prevenzione delle principali patologie dentali. La rimozione del tartaro e della placca batterica permette di mantenere denti e gengive sani, riducendo il rischio di carie, gengivite e parodontite (piorrea).

La pulizia dei denti professionale viene eseguita dall’igienista dentale attraverso uno strumento chiamato ablatore a ultrasuoni. Questo dispositivo, dotato di una sottile punta metallica, emette vibrazioni ultrasoniche che consentono di staccare il tartaro dalla superficie dei denti in modo preciso ed efficace. L’igiene orale professionale si completa con una fase di rifinitura e lucidatura, utile a rendere i denti più lisci e meno soggetti a nuovi accumuli di placca.

Effettuare regolarmente l’ablazione del tartaro significa non solo migliorare l’estetica del sorriso, ma soprattutto proteggere la salute orale nel lungo periodo attraverso una corretta prevenzione.

Presso Bclinic la pulizia dei denti ha un costo di 59 euro per i nuovi pazienti, riservato a chi non ha mai effettuato una seduta di igiene orale professionale nei nostri centri.

Per chi desidera programmare controlli periodici durante l’anno è disponibile la Bclinic Card, una soluzione vantaggiosa dedicata alla prevenzione. La card ha un costo di 97 euro e comprende 4 igieni orali a 24,25 euro ciascuna. Le quattro sedute di ablazione del tartaro possono essere utilizzate da una sola persona oppure suddivise, ad esempio due per sé e due da regalare.

Puoi effettuare la pulizia dei denti e l’ablazione del tartaro nelle sedi Bclinic di Bergamo e nei paesi limitrofi come Seriate e Stezzano, in provincia di Lecco a Calolziocorte, nella zona del Lago di Garda a Manerba del Garda, in Franciacorta a Erbusco, in Val Trompia a Sarezzo, a Montichiari in provincia di Brescia e a Bussolengo in provincia di Verona.

Se stai cercando una pulizia dei denti a Bergamo, un’ablazione del tartaro a Seriate o Stezzano, una igiene orale a Calolziocorte, in Franciacorta, sul Lago di Garda, a Sarezzo, Montichiari o Bussolengo, puoi prenotare una seduta nella sede Bclinic più vicina e prenderti cura del tuo sorriso con un trattamento professionale, sicuro e orientato alla prevenzione.

Durata seduta
45 minuti

Prima e dopo

  • Procedura: Ablazione tartaro